Orthodontics is a branch of dentistry that specializes
in treating patients with improper positioning of teeth
when the mouth is closed (malocclusion), which results
in an improper bite. Orthodontics also includes treating
and controlling various aspects of facial growth
(dentofacial orthopedics) and the shape and development
of the jaw. An orthodontics specialist is called an orthodontist.
Orthodontics used to be called orthodontia - the word comes
from the Greek orthos, meaning "straight, perfect or proper",
and dontos, which means "teeth".
Orthodontists are concerned with the study and treatment of
malocclusions (improper bites), which may be a result of tooth
irregularity and/or disproportionate jaw relationships. Orthodontic
treatment can focus on dental displacement only, or can deal with the
control and modification of facial growth. In the latter case it is
better defined as "dentofacial orthopedics".
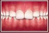
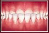
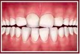
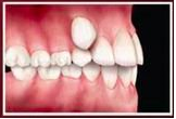
Malocclusion literally means bad bite. Malocclusion refers to crooked, misaligned teeth and a fault in the relation between the bottom and top set of teeth (the two dental arches). This may develop because of injury to the teeth or facial bones, frequent thumb sucking, or for reasons unknown..
Types of Malocclusions explained:
Malocclusion literally means bad bite. Malocclusion refers to crooked, misaligned teeth and a fault in the relation between the bottom and top set of teeth (the two dental arches). This may develop because of injury to the teeth or facial bones, frequent thumb sucking, or for reasons unknown.
Images to depict the different mulocclusions

sometimes called "buck teeth" - where the upper front teeth lie too far forward (stick out) over the lower teeth

a "bulldog" appearance where the lower teeth are too far forward or the upper teeth too far back

when the upper teeth do not come down slightly in front of the lower teeth when biting together normally

space between the biting surfaces of the front and/or side teeth when the back teeth bite together

gaps, or spaces, between the teeth as a result of missing teeth or teeth that do not "fill up" the mouth

when there are too many teeth for the dental ridge to accommodate

when teeth or a tooth grows out of position and is not aligned to any other.

when the front teeth protrude outward abnormaly/exccessively
For comprehensive orthodontic treatment, metal wires ("Jushi") are inserted into orthodontic brackets (braces), which can be made from stainless steel or a more aesthetic ceramic material. The wires interact with the brackets to move teeth into the desired positions. Functional appliances are often used to redirect jaw growth.
After a patient complete the course of active orthodontic treatment, patients will typically wear retainers (either a fixed metal retainer on a removable retainer), which help to maintain the teeth in their improved positions while surrounding bone reforms around them. This picture shows retainers for the top and bottom of the mouth.